- In vitro: La Aemps, lista y en manos de la UE para ser organismo notificado
- Industria se ciñe al nuevo Profarma para 'premiar' a fármacos estratégicos
- La supervivencia de pacientes covid con remdesivir supera el 87% en España
Y ADEMÁS...
-
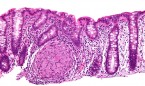
Darvadstrocel en enfermedad de Crohn: remisión combinada en el 75% de casos
-
Sanofi nombra a Laure Yvenou como nueva responsable de Government Affairs
-
El fármaco estrella de Rovi para esquizofrenia llega a España en septiembre
-
La fibrosis quística protagoniza la CIPM con 3 'OK' y 2 nuevas indicaciones
-
Colaboración público-privada y talento, llave a nuevas terapias oncológicas
-
Extremadura, Madrid y País Vasco entran con voto en la nueva CIPM
-
El "oportunista" fármaco low cost merma la idea de industria local fuerte
-
La vacuna covid Sanofi-GSK obtiene la mejor inmunidad en dosis de refuerzo
-
La EMA registra la cifra más alta de nuevos principios activos del lustro
-
El Incliva y Roche Farma firman un acuerdo para impulsar la Biomedicina
-
El éxito de la CAR-T pediátrica Kymriah (Novartis) se mantiene tras 5 años
-
"Preocupación" por el impacto de la inflación en el suministro de genéricos
-
"Progresos significativos" de Keytruda al inicio de ciertos tipos de cáncer
-
La potencial vacuna contra el dengue de Takeda previene el 84% de ingresos
-
Moderna invertirá 500 millones en España y creará un laboratorio de vacunas
-
GSK renueva su imagen de marca y empieza una nueva etapa estratégica
-
El genérico español se adapta a Europa y renueva su código de conducta
-
Europa empieza a evaluar la vacuna covid de Pfizer adaptada a las variantes
-
Sanidad amplía los prospectos de 10 fármacos para adaptar el manejo médico
-
Janssen conmemora su VIII edición del Foro Premios Afectivo-Efectivo
-
"La funcionalidad va más allá de la remisión clínica en depresión"
-
Gilead reúne a expertos para abordar la relación infecciones fúngicas-covid
-
Chiesi pone en valor el trabajo de los profesionales de Neonatología
-
Arantxa Catalán (Sanofi) ingresa en la Academia Catalana de Farmacia
-
La industria farmacéutica marca sus 10 claves como sector estratégico
-
BMS reclama mayor concienciación sobre el cáncer renal en su nuevo podcast
